最新学习园地

关于淋巴瘤的化疗方案

2019-04-24

口腔肿瘤

2019-04-03

犬猫鼻镜鳞状上皮细胞癌

2019-03-25

犬原发性骨肉瘤病例

2019-03-10

学习园地详情

犬原发性骨肉瘤病例

2019-03-10

犬原发性骨肉瘤病例

骨肉瘤是犬最常见的原发性骨肿瘤,占犬骨骼恶性肿瘤的85%,其特征是局部浸润和早期转移。据统计,在美国每年约有8000多只犬发病。其主要发生于中年和老年犬,中位发病年龄是7岁,也是大型犬和巨型犬的典型癌症。雄性的发病率略高于雌性。大约95%的骨肉瘤发生在四肢骨,其余发生在中轴骨,长骨的干骺端是最常见的发病位置,前肢骨是后肢骨的两倍,发生在肘部的骨肉瘤比较罕见。犬骨肉瘤的发病原因尚不清楚。动物一般表现为患肢跛行,发病位置肿胀,并可能在跛行前有创伤史,不到3%的犬会伴发病理性骨折。一般的治疗方法是截肢手术后辅助全身化疗。常用的化疗药物是顺铂,卡铂,洛铂及多柔比星。笔者于2011年11月在临床上发现犬右前肢肱骨远端骨肉瘤1例,现将其病史和临床诊治情况报告如下。

 病例概述

患犬为喜乐蒂犬,7岁,雄性绝育。患犬突然出现跛行,表现疼痛;主人触摸腋下有肿块。

 临床检查

2.1  临床表现 

患犬食欲减退,逐渐消瘦,精神不振。右前肢肘部明显肿胀,触摸患处质地坚硬,无明显热感,按压疼痛。触诊腋下淋巴结轻度肿大。

2.2  特殊诊断 

经X线初步检查显示:右前肢肘关节附近有骨质溶解(见图1),失去骨小梁,异常骨组织边缘不整齐,病变组织还未超过生长板。肺片未见明显异常,疑似骨肉瘤

图 1 右前肢X线片。肱骨远端大范围溶解性病变(箭头所指区域)。

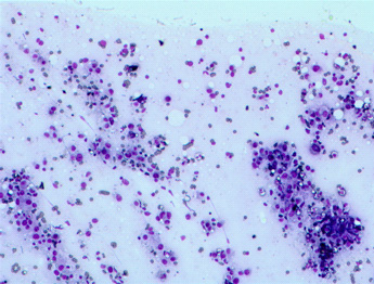
经细胞学穿刺检查显示:镜下见大量脱落细胞,细胞形态椭圆至梭形,大小重度不等;胞质中度嗜碱性,有的含有小空泡;胞核大小重度不等,表现多核;有丝分裂相严重,多核仁、巨核仁,且核仁大小不等。结合临床症状遂确诊为骨肉瘤。

图 2  细针穿刺样品。细胞形态不一,核质比高,胞质中度嗜碱性,

 粉色基质背景(粘多糖)(H.E.×100)

图 3  细胞穿刺样品。细胞核形态不一,偏于细胞一侧(白色箭头所指),

 有丝分裂相严重,多核仁(黑色箭头所指)。(H.E.×400)

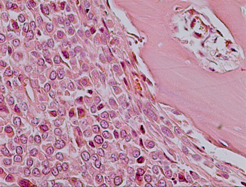
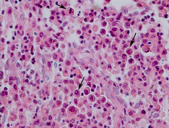
经组织学检查显示:镜下大量成骨细胞聚集,网状,细胞核细长,核质比高,深染细胞大量分布,非典型有丝分裂相较常见,部分区域有明显的成软骨细胞分布,骨质呈片状分布,组织间大量毛细血管网状分布,有出血,炎性细胞浸润(见图6-7)。淋巴结内大量圆形瘤细胞浸润,肿瘤已经淋巴结转移(见图8)。

图 6  大量成骨细胞聚集,细胞大小不一,核质比高,有毛细血管分布,

 出血(黑色箭头所指),炎性细胞浸润(白色箭头所指)。(H.E.×100)

图 7  骨肉瘤。细胞核细长,非典型有丝分裂相常见。(H.E.×400)

图 8  骨肉瘤淋巴结转移。淋巴结内有大量圆形瘤细胞浸润(箭头所指)。(H.E.×400)


 

 治疗

3.1  手术  

从肩胛骨背侧缘,沿肩胛脊切开皮肤到肱骨近端1/3端,切断斜方肌,肩胛横穿肌,菱形肌,股侧锯肌,结扎臂动脉,静脉,剪断臂神经丛,再次切断胸浅胸深肌,切断背阔肌,最终截除右前肢及腋下淋巴结(腋下淋巴结轻度肿大)。切除的肘部肿瘤外观呈菜花状,乳白色,外有假包膜包裹(见图4)。术后认真护理,抗菌消炎。

图 4  切除的肿瘤外观


 

3.2  辅助全身化疗  

术后第7天开始给予患犬多柔比星+卡铂1个周期化疗。每次化疗间隔21天,在每7天和30天分别进行血常规和生化监测,且每次化疗前给与止吐剂西咪替丁与抗过敏剂量苯海拉明。以下是化疗的详细情况:

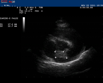
第一次化疗:患犬体重10.2kg,静注多柔比星10mg,并辅助泼尼松等其他药物。化疗后第3天晚上患犬出现两次心悸症状,饮水后情况有所好转。此症状一般发生在晚上,在化疗后的第4-5天最严重,以后慢慢好转,第7天后再没有出现此症状。期间患犬精神状态,体温,饮食和排便都正常。因为给与泼尼松,患犬饮水量和排尿量有所增加。对患犬进行心脏彩超检查发现左心房壁有赘生物(见图5)

图 5  左心房壁赘生物彩超图。白色“+”所标志区域表示赘生物。


第二次化疗:患犬体重10.6kg,静注卡铂125mg,并辅助其他药物。 化疗后当天患犬精神不佳,第2天上午发生呕吐,呕吐物为白色泡沫状物,体温偏高约38℃,第3天情况好转。截肢伤口仍有疼痛感。化疗后第9天患犬在排尿后期偶见血尿,此情况一直持续到第11天。因患犬曾在同年因前列腺肿大压迫直肠而做绝育,所以怀疑其血尿是前列腺炎症导致,遂给与患犬消炎药。第12天来医院检查,B超与生化指标都基本正常,但血常规结果显示白细胞值很低约500/μl,遂给与患犬吉粒芬和巨力肽以提高白细胞数量。当晚患犬发烧,精神很差,无食欲,咳嗽,肺部听诊有啰音,给予退烧针与阿克舒后症状好转。第15天患犬复诊血常规监测白细胞值为6000/μl,精神良好。

第三次化疗: 患犬体重10.8kg,静注多柔比星10mg,并辅助其他药物托消化瘤胶囊和新活力。化疗前进行X线全面检查,未见明显转移。化疗后定期进行血常规和生化监测,随访至今患犬状况一直稳定。

 

 讨论

5.1  化疗后症状分析

阿霉素具有广谱抗肿瘤作用,常见适应症是淋巴瘤,骨肉瘤,血管肉瘤和多种癌症。其副反应除了一般的骨髓抑制和胃肠道反应外,还有急性反应包括过敏反应,外渗损伤和少见的心率失常(中老年犬)。该病例中患犬主要表现的副反应是心律失常,即在第一次阿霉素治疗后的第3-5天表现明显的心悸症状,可能与其心脏左心房有赘生物有关。对患犬进行心电图检查没有明显的异常。第二次使用阿霉素后再没有出现症状。实验表明如果药物被缓慢注射超过20min,心律不齐和过敏症会减轻。对于心脏功能不好的动物在使用阿霉素前应进行充分的心脏检查,若有异常,应该由心脏病专家评估后进行化疗。可以在化疗前给与一些心脏保护类药物。

卡铂是一种铂金复合物。卡铂可用于在骨肉瘤的治疗中替代顺铂。在犬最主要的副反应是食欲废绝、呕吐、骨髓抑制,其特点是血小板计数下降(可能导致淤青和出血增加)和一定的中性粒白细胞减少(感染易感性增加),最低点发生在药物注射后的11-14天。因此在此期间应该做血常规。虽然没有肾毒性,但是卡铂不能用于肾功能受损的动物。该病例中患犬表现典型的卡铂化疗后反应。

化疗过程中如果发生严重的副反应,或者中心叶细胞计数下降到最低点500/μl,或者在下次计划化疗时计数低于1500/μl,可以削减20%的剂量,但应慎重考虑,因为相应疗效会降低50%,或者选择停止化疗。


5.2  关于治疗 

当骨肉瘤被确诊时通常已不是初期了,因此标准的治疗方式是手术切除最初肿瘤,继而辅助化疗杀死残余的肿瘤细胞。但发生肺部转移后化疗几乎是无效的。一般的化疗方案是采用阿霉素、顺铂、卡铂或洛铂单药或联合使用进行全身化疗,其是最有效的化疗药物,可以显著延长患有骨肉瘤犬的存活时间。术后开始化疗的最佳时期是术后恢复和微病灶未开始生长的折衷阶段。在一项研究中截肢后2天或者10天开始化疗的存活时间没有明显差别,但是前者的化疗毒性会增加。所以大多数肿瘤学家建议术后两周开始化疗。

在病灶非常小且发生在四肢骨远端或者主人不接受截肢的情况下,可以采取保肢术结合化疗,但保肢手术操作复杂,需要有经验的专科医生。当患病动物既不适合采取截肢术或者保肢术的情况下,可以采取放疗作为姑息疗法以减轻疼痛,但可能会发生压力诱导下的病理性骨折。

除此之外,聚合物传递化疗,免疫疗法,分子靶向治疗等一些非常规治疗手段在骨肉瘤的治疗中也有所应用,但疗效还有待研究。

 

5.3  预后因素

多项研究表明在诊断时血清碱性磷酸酶值升高和骨肉瘤截肢后不良预后有关。总ALP值大于正常值的上限与较短的存活时间有关,骨ALP值可能会更加准确的预测患骨肉瘤犬存活时间。

诊断时的年龄对于骨肉瘤患犬实施截手术后的存活也有重要意义,7到10岁的犬有最长的存活时间;而幼犬和老年犬几乎都很差。

    最近的一项研究发现,治疗前循环血液中较高单核细胞和淋巴细胞的数量与较短的无病期显著相关。

 此外,犬四肢骨骨肉瘤的不良预后因素还包括:高组织学分级(III级),局部淋巴结转移,处于临床III期,发生在肱骨近端,牵连到肋骨或肩胛骨,体重偏高,肿瘤组织切除不完全和肿瘤体积过大等。在对患犬进行治疗前应充分考虑各因素,并且与和客户进行良好沟通。

参考文献

 

[1]Stephen J. Withrow and David M. Vail,et al,Wither and Macewen's Small Animal Clinal Oncology[M] by Saunders,an imprint of Elsevier Inc,2007:163-192.

[2]Emanuela Morello,Marina Martano,et al,Biology diagnosis and treatment of canine appendicular osteosarcoma:Similarities and differences with human osteosarcoma[J],The Veterinary Journal,2011,189(3):268-277

[3]Stephen J.Withrow,Surgery for Skeletal Sarcomas[J],Clinal Techniques in Small Animal Practice,1998,2,13(1):53-58

[4]Melissa Endicott, Principles of Treatment for Osteosarcoma[J],Principles of treatment for osteosarcoma,2003,5,18(2):110-114

[5]John Berg et al, Effect of timing of postoperative chemotherapy on survival of dogs with osteosarcoma, Cancer ,1997,79(7):1343-1350

[6]Ehrhart N et al, Prognostic importance of alkaline phosphatase activity in serum from dogs with appendicular osteosarcoma: 75 cases (1990-1996), Journal of the American Veterinary Medical Association, 1998,213(7):1002-6Veterinary Journal ,189 (2011) :268–277

[7]J Kirpensteijn G. R. Rutteman et al, Prognostic significance of a new histologic grading system for canine osteosarcoma[J], Veterinary Pathology,2002,39(2):240-246

[8]J.L.Sottnik, S.Rao, et al, Association of Blood Monocyte and Lymphocyte Count and Disease-Free Interval in Dogs with Osteosarcoma[J],Journal of Veterinary Internal Medicine, 2010,24(6):1439-1444

[9]谢富强,犬原发性骨肉瘤[J],犬猫保健,2003,39(8):39-40

[10]刘伟伟,王秋悦等,犬软骨肉瘤[J],中国兽医杂志,2009,45(1):60-62